What is Silver Diamine Fluoride (SDF)?

A Gentle Way to Treat Your Child's Cavities

If your child has a cavity, you may feel worried. 

You might wonder: Will it hurt? Will they need drilling? Will it cost a lot?

At Neighborhood Health Center (NHC), many parents share these same concerns. 

That’s why our dental team may talk with you about silver diamine fluoride, also called SDF. 

SDF is a gentle way to help stop cavities from getting worse. 

Quick Facts About Silver Diamine Fluoride (SDF) 

  • What it is: A liquid medicine that a dental provider paints on a cavity to help stop it from getting worse.
  • What it does: Helps slow or stop tooth decay and may lower sensitivity.
  • What it feels like: Quick and usually painless. No drilling and no shots.
  • How long it takes: Just a few minutes in the clinic.
  • Who it can help: Kids who are very young, nervous about dental care, or have multiple cavities.
  • How often it may be needed: Often every 3–12 months, depending on the tooth and your child’s needs.
  • The biggest thing to know: SDF turns the cavity black. This stain is permanent on the decayed part of the tooth.
  • What to do next: Ask your child’s dental team if SDF is a good option for them and what follow-up care is needed. 
a young boy sitting in a dental exam chair

What Is SDF? 

Silver diamine fluoride (SDF) is a liquid medicine used on teeth with cavities. 

It is brushed onto the tooth and takes only a few minutes. 

There is: 

  • No drilling 
  • No shots 
  • No numbing medicine 
  • No medicine to make your child sleep 

Because of this, SDF can be a good choice for young children or kids who feel nervous at the dentist. 

What Does SDF Do? 

SDF helps in two main ways: 

  • Stops the cavity from growing 
  • Helps protect the tooth 

You can think of it like putting a pause on the cavity. 

It does not fix the tooth like a filling, but it can help keep the tooth safe. 

Why Might a Dentist Recommend SDF? 

Your child’s dentist may suggest SDF if: 

  • Your child is very young 
  • Your child feels scared or anxious 
  • There are several cavities 
  • Treatment needs to be delayed 
  • Your family wants a gentle option 

SDF can help protect teeth until more care is possible. 

Is SDF Safe? 

Yes. SDF is safe for children and adults when used by trained dental professionals. 

Some children may notice: 

  • A short metallic taste 
  • Mild gum irritation 

These usually go away quickly. 

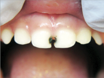
a close up of a child's teeth with a cavity
A cavity in a child's tooth before silver diamine fluoride is applied.
A child's cavity treated with silver diamine fluoride.
A child's cavity treated with silver diamine fluoride.

Important to Know: The Tooth Will Turn Black 

After SDF is used, the cavity will turn black. 

This can be surprising, but it is normal. 

The black color means the cavity has stopped growing. 

Only the damaged part of the tooth turns black (a healthy tooth does not). 

For baby teeth, the stain stays until the tooth falls out naturally. 

Your dental team will discuss this with you before treatment. 

How Is SDF Applied? 

The visit is quick and gentle. 

Here’s what to expect: 

  1. The tooth is cleaned and dried
  2. A small amount of SDF is brushed on 
  3. It sits for about 10–60 seconds 
  4. Extra liquid is wiped away 

Your child can usually eat and drink afterward. 

Will My Child Need More Than One Treatment? 

Often, yes. 

For best results, SDF may be placed every few months again. 

Your dentist will check the tooth and let you know what’s needed. 

When Is SDF Not the Right Choice? 

SDF may not be used if your child has: 

  • Tooth pain 
  • Swelling of the face or gums 
  • Signs of infection 
  • An allergy to silver 

In these cases, a different treatment is needed. 

a close up of a child's smile that has been treated with SDF in several areas

Does SDF Replace Dental Visits? 

No. SDF does not replace regular dental care. 

Your child still needs: 

  • Dental checkups 
  • Brushing twice a day 
  • Follow-up visits 

SDF works best as part of a full dental care plan. 

How NHC Supports Your Family 

At Neighborhood Health Center, we believe every child deserves a healthy smile. 

Our dental teams: 

  • Explain all options 
  • Answer your questions 
  • Respect your choices 
  • Accept Medicaid 
  • Offer sliding fee discounts 

If SDF is recommended, it’s because your care team believes it may help your child right now. 

What to Do Next 

If you have questions about silver diamine fluoride, talk with your child’s dentist or care team. 

We’re here to help you understand your options and choose what feels right for your family. 

a dentist pointing at a child's mouth who is sitting in the exam chair

FAQs about Silver Diamine Fluoride (SDF) 

What is silver diamine fluoride (SDF)? 

Silver diamine fluoride, or SDF, is a liquid used by dentists to help stop cavities from getting worse. It is painted onto the tooth in just a few minutes and does not require drilling or shots. 

Is silver diamine fluoride safe for kids? 

Yes. Silver diamine fluoride is safe for children and adults when used by a trained dental provider. It has been used for many years and contains less fluoride than fluoride varnish. 

Does SDF stop cavities or just slow them down? 

SDF can stop or slow cavities. In many cases, it helps stop tooth decay from spreading. Some teeth may still need more treatment later, but SDF can help protect the tooth in the meantime. 

Why does silver diamine fluoride turn the tooth black? 

SDF turns the decayed part of the tooth black as it works to stop the cavity. This color change is permanent, but it shows the cavity has stopped getting worse. Healthy parts of the tooth do not turn black. 

Does silver diamine fluoride hurt? 

No. SDF is painless. There is no drilling, no numbing shots, and no sedation. Some children notice a temporary metallic taste that goes away quickly. 

How long does silver diamine fluoride last? 

SDF works best when it is reapplied every 3 to 12 months. Your dentist will check the tooth and let you know if another treatment is needed. 

Is silver diamine fluoride better than a filling? 

It depends. SDF does not replace fillings in every situation. It is often used to stop cavities when a child is very young, anxious, or not ready for more dental treatment yet. 

Can silver diamine fluoride be used on baby teeth? 

Yes. SDF is commonly used on baby teeth. The black stain will stay until the baby tooth falls out. It will not affect the adult tooth underneath. 

Can adults get silver diamine fluoride? 

Yes. Adults can receive SDF, too. It is often used for sensitive teeth or cavities in older adults, especially when dental care is harder to access. 

Does SDF replace regular dental visits? 

No. SDF does not replace routine dental care. Children and adults still need regular dental checkups, cleanings, and follow-up care. 

What happens if SDF does not work? 

Sometimes a cavity continues to grow even after SDF. If that happens, your dentist may recommend another SDF treatment, a filling, a crown, or removing the tooth. 

Is silver diamine fluoride covered by insurance? 

Many Medicaid and dental plans cover SDF for children. Coverage can vary, so your care team can help check your benefits. 

When should I call a dentist instead of using SDF? 

SDF should not be used if there is: 

  • Tooth pain that lasts or wakes a child at night 
  • Swelling of the gums or face 
  • Signs of infection 

In these cases, a dentist should see your child right away. 

Have questions about silver diamine fluoride? Talk with your child’s dental provider. The team can help you understand your options and choose what’s best for your family. 

Note: This information is for education only and does not replace medical or dental advice. Please talk with your dental provider about what treatment is right for you or your child. 

Sources 

This article was informed by guidance and research from the following trusted organizations: 

  • American Dental Association (ADA). Silver Diamine Fluoride. 
  • American Academy of Pediatric Dentistry (AAPD). Use of Silver Diamine Fluoride for Caries Management in Children. 
  • American Academy of Pediatrics (AAP). Silver Diamine Fluoride: Frequently Asked Questions for Families. 
  • HealthyChildren.org (American Academy of Pediatrics). Silver Diamine Fluoride to Stop Tooth Decay. 
  • Centers for Disease Control and Prevention (CDC). Oral Health Basics and Tooth Decay Prevention. 
  • U.S. Food and Drug Administration (FDA). Medical Device Classification for Silver Diamine Fluoride. 

Talia Staiger, a family dentist, at NHC Tanasbourne Medical and Dental Clinic, smiles at the cameraThis article was reviewed by Talia Staiger, DMD, a Family Dentist at NHC’s Tanasbourne Dental Clinic. Dr. Staiger earned her Doctor of Dental Medicine from the University of Connecticut and completed a General Practice Residency at the University of Utah, where she gained experience in extractions, hospital dentistry, pediatrics, restorative care, and implant dentistry. At NHC, she provides comprehensive dental services with a strong commitment to improving access to care and helping patients feel comfortable and confident in the dental setting.